Zahnästhetik
Der Ästhetik muss im Bereich der Zahnheilkunde besondere Aufmerksamkeit geschenkt werden, da persönliches Wohlempfinden, Selbstbewusstsein und beruflicher Erfolg mit einem gesunden Gebiss verknüpft sind. Schöne Zähne ermöglichen ein unbefangenes, sympathisches Lächeln. Seit vielen Jahren arbeiten wir erfolgreich auf diesem Gebiet und schulen uns immer weiter fort.
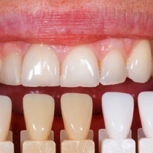
In den letzten Jahren hat sich im Bewusstsein der Patienten und der Behandler ein Wandel vollzogen. Während vor noch nicht allzu langer Zeit gegossene Goldfüllungen und Teilkronen als hochwertige Behandlungsform galten, werden heute hauptsächlich zahnfarbene Füllungen, Inlays und Kronen gewünscht. Neben der brillanten Ästhetik solcher Arbeiten ist die bessere Funktion durch moderne Klebeverfahren hervorzuheben.
Aktuelle vollkeramische (d.h. metallfreie) Materialien sind aus Zirkoniumdioxid. Diese so genannten Hochleistungskeramiken werden computergestützt geplant und gefertigt. Neben der sehr guten Ästhetik und hohen Bioverträglichkeit sind sie auch mechanisch sehr belastbar.
Bakterielle Beläge (Plaque) lagern sich nach neuesten Untersuchungen nicht so leicht an wie an Metalloberflächen, so dass in der Folge weniger Zahnfleischirritationen auftreten.
In den letzten Jahren hat sich im Bewusstsein der Patienten und der Behandler ein Wandel vollzogen. Während vor noch nicht allzu langer Zeit gegossene Goldfüllungen und Teilkronen als hochwertige Behandlungsform galten, werden heute hauptsächlich zahnfarbene Füllungen, Inlays und Kronen gewünscht. Neben der brillanten Ästhetik solcher Arbeiten ist die bessere Funktion durch moderne Klebeverfahren hervorzuheben.
Aktuelle vollkeramische (d.h. metallfreie) Materialien sind aus Zirkoniumdioxid. Diese so genannten Hochleistungskeramiken werden computergestützt geplant und gefertigt. Neben der sehr guten Ästhetik und hohen Bioverträglichkeit sind sie auch mechanisch sehr belastbar.
Bakterielle Beläge (Plaque) lagern sich nach neuesten Untersuchungen nicht so leicht an wie an Metalloberflächen, so dass in der Folge weniger Zahnfleischirritationen auftreten.
Ästhetische Füllungen im Frontzahnbereich
Kunststoff-Füllungen im Frontzahnbereich gibt es schon lange. Nicht immer gelingen in diesem ästhetisch sensiblen Bereich zufriedenstellende Ergebnisse. Mit einer speziellen aufwendigen Rekonstruktionstechnik kann verlorene Zahnhartsubstanz unter Anwendung eines hoch ästhetischen Kunststoffmaterials mittels Füllungen, Schneidekannten- und Eckenaufbauten unsichtbar wiederhergestellt werden. Sogar die ästhetisch komplette Umgestaltung von Zahnformen ist mit dieser Technik möglich.
Kunststoff-Füllungen
Vertrauen Sie den besten Zahnerhaltungsmaßnahmen. So könnte das Ergebnis einer Kunststoff-Füllung aussehen.
Vollkeramische Inlays und Zahnkronen
Die metallfreien Keramiken werden mit dem Zahn innig verklebt. Dadurch wird die verbliebene Zahnsubstanz stabilisiert.
Veneers
Mit hauchdünnen Keramikschalen lassen sich hervorragende ästhetische Korrekturen vornehmen, ohne den Zahn dafür zu beschleifen.
Zahnaufhellung oder Bleaching
In einer Sitzung kann die Grundfarbe ihrer Zähne um bis zu 8 Stufen aufgehellt werden. Optimal im Zusammenhang mit der Prophylaxe.
Zahnschmuck
Auf Wunsch können kleine Schmucksteine auf den Zähnen befestigt werden. Sie lassen sich jederzeit rückstandslos entfernen.